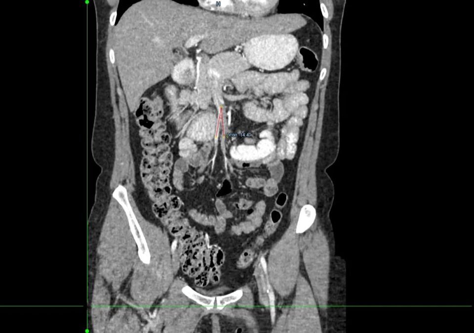
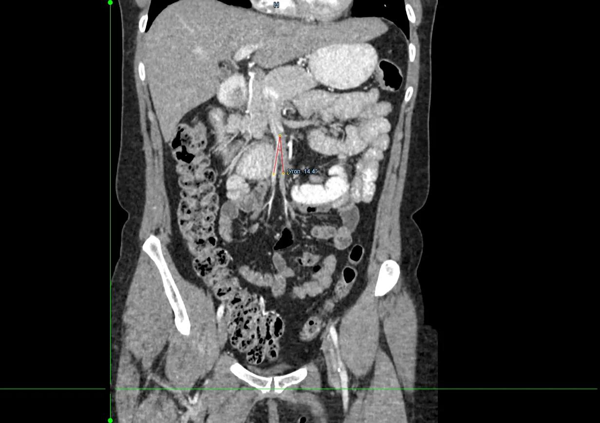
«Не могла нормально питаться»: хирурги прооперировали красноярку с редким заболеванием
Врачи хирургического отделения №3 Красноярской межрайонной клинической больницы №20 им. И.С. Берзона провели операцию 49-летней пациентке с синдромом Уилки. Из-за него женщина долго не могла нормально питаться и сильно похудела.




















































