Красноярские врачи спасли пациентку с осложнением желчнокаменной болезни
В приемную Краевой клинической больницы поступила 56-летняя женщина с жалобами на боль в левой части живота, высокую температуру и многократную рвоту. Симптомы сохранялись трое суток, раньше подобного не было.
Медики заподозрили острый панкреатит: при этом ферменты поджелудочной железы оказались в норме, а воспалительные показатели крови зашкаливали. УЗИ показало лишь небольшое количество свободной жидкости в брюшной полости.
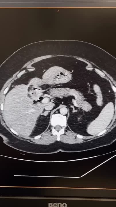
Для уточнения диагноза врачи выполнили МСКТ с контрастированием и обнаружили инородное тело в верхних отделах тонкой кишки, желчный пузырь не визуализировался. По словам пациентки, до этого операций на животе у нее не было. Специалисты предположили миграцию камня из желчного пузыря в кишечник с формированием пузырно-двенадцатиперстного свища. Диагноз подтвердила ФГДС.
Пациенте планировали удалить камень с помощью лапароскопии, но во время операции хирурги обнаружили перитонит и частичный некроз тонкой кишки. Им пришлось выполнить полостное вмешательство – резекцию участка кишки с удалением камня. Послеоперационный период осложнился гнойным воспалением, потребовалась повторная операция для санации брюшной полости.
Через 2 недели женщину выписали из больницы в удовлетворительном состоянии. Желчный пузырь ей сохранили – он полностью заместился рубцовой тканью. Через 6 месяцев на контрольном МСКТ орган не визуализировался, а свищ в двенадцатиперстной кишке самостоятельно закрылся.
«Этот случай – наглядное напоминание о том, что даже бессимптомное носительство камней в желчном пузыре может привести к тяжелым, редким и жизнеугрожающим осложнениям. Миграция камня в кишечник, формирование свища, некроз кишки – всё это развилось у пациентки, которую ранее ничего не беспокоило. К счастью, мы справились, но каждая подобная ситуация – борьба за жизнь пациента. При выявленных камнях и наличии показаний к операции не стоит откладывать плановое лечение. Осложнения возникают внезапно, а их последствия бывают необратимыми», – комментирует оперирующий хирург Павел Соболев.
Еще больше историй о помощи краевых медиков – читайте по хештегу #НЕОТЛОЖКА_ККБ












































